Por qué se pone negra una muela
Si tienes un diente oscuro, podemos aplicar un tratamiento llamado endodoncia y luego blanquear el diente. Con la endodoncia eliminaremos […]
Si tienes un diente oscuro, podemos aplicar un tratamiento llamado endodoncia y luego blanquear el diente. Con la endodoncia eliminaremos […]
La limpieza profunda de los dientes está indicada para tratar la enfermedad de las encías, evitando que empeore y requiera
Cómo saber si necesito una limpieza dental profunda Leer más »
Según el estudio ANIBES, realizado por la Fundación Española de la Nutrición, la ingesta media de azúcar de una persona
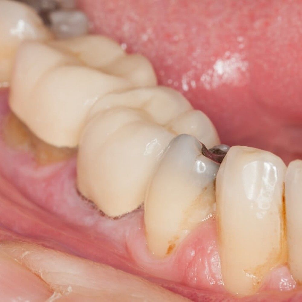
En la mayoría de los casos, las caries no dan ningún síntoma hasta que son muy grandes y afectan al
La caries dental son áreas donde el tejido duro del diente comienza a descomponerse. El ácido se produce cuando las
El síntoma principal de que un diente está infectado es la aparición de un absceso como consecuencia de la inflamación
Normalmente las caries se trabaja por cuadrante. Se divide la boca en 4 partes, dos arriba y dos abajo, izquierda
Sabiendo que los abscesos dentales se deben principalmente a caries y pulpitis, la mejor manera de prevenirlos es: Mantenga sus
También podemos sufrir de dolor de encías por los nervios. Provocando inflamación, debido a una hormona que se activa cuando